İZMİR TUMED HABER SON DAKİKA
Güney Afrika’nın başkentinde yaşayan 28 yaşındaki Tamsyn Gerrits’in sabah karnında fark ettiği şişlik hayatını altüst etti. Aynaya baktığında kendisini yaklaşık beş aylık hamile gibi gördüğünü belirten genç kadın, durumun normal olmadığını fark ederek hastaneye başvurdu.
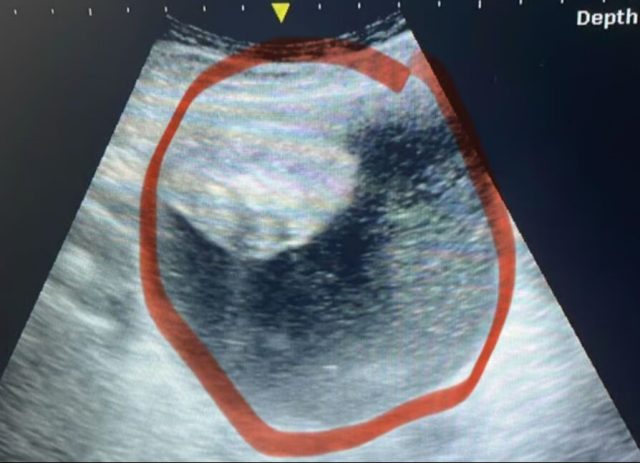
Yapılan testler sonucunda hamile olmadığı ortaya çıkan Gerrits, ultrason ve ileri tetkiklere alındı. Başta ne olduğu anlaşılamayan bu şişliğin mesaneye baskı yapan sıvı dolu bir kitle olduğu tespit edildi. Ancak kesin tanı ancak günler sonra yapılan jinekolojik muayene ile konulabildi: Yumurtalık tümörü…

3 GÜNDE 5 SANTİMETRE BÜYÜDÜ
Hastalığın ilerlemesi oldukça hızlıydı. Cuma günü yapılan ölçümde 12 santimetre olan kitle, Pazartesi günü 17 santimetreye ulaştı. Bu hızlı büyüme nedeniyle Gerrits acil ameliyata alındı. Tümör ameliyat sırasında patladı ancak bu durum, hastalığın yayılmadan kontrol altına alınmasında önemli bir şans olarak değerlendirildi.

TEŞHİS HAYATINI KURTARDI
Biyopsi sonucunda tümörün kötü huylu ve ileri seviyede olduğu belirlendi. Tedavi sürecine başlayan Gerrits, kemoterapiyle mücadelesine devam ediyor. Zorlu süreci eşi Jaco ve 1 yaşındaki oğlu Elan’ın desteğiyle atlatmaya çalışan genç kadın, erken teşhisin önemini vurguladı.
“HER GÖZYAŞI BUNA DEĞER”
“Erken teşhis edildiğim için minnettarım” diyen Gerrits, yaşadıklarını paylaşarak diğer kadınların farkındalığını artırmayı amaçlıyor. “Eğer bir kadının hayatına dokunabilirsem, yaşadığım her zorluk buna değer” ifadelerini kullandı.