TUMEDHABER İZMİR'İN GÜÇLÜ SESİ
HABERLER Sağlık Aydın’da 18 santimlik çatal yuttu
Sağlık

Aydın’da 18 santimlik çatal yuttu

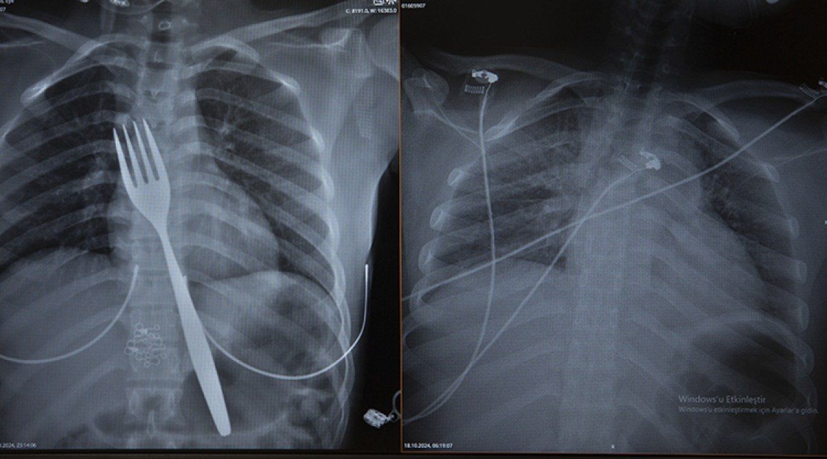
Söke ilçesinde bir genç kızın yuttuğu 18 santimetrelik çatal, operasyonla alındı. Bu operasyon hakkında bir bilimsel makale yazılmasına karar verildi.

Şafak Ö. 24 Ekim 2024
14.2K OKUNMA
4 DK OKUMA
AA

Aydın’da tıp dünyasını hayretler içerisine düşüren bir olay yaşandı.

Vaka ile ilgilenen doktorlar, yaşanan durumun çok nadir olduğunu belirtti.

Söke’de yaşayan yabancı uyruklu E.E isimli 18 yaşındaki bir genç kız, yemek çatalını yuttu.

Genç kız, ambulansla Aydın Adnan Menderes Üniversitesi (ADÜ) Hastanesine getirildi.

18 SANTİMLİK YEMEK ÇATALI YUTTU

Burada röntgeni çekilen hastanın yemek borusunda 18 santimlik çatal olduğu tespit edildi.

Uzmanlar endoskopi yaparak çatalı ağızdan çıkarmayı denedi. Fakat yemek ve soluk borusuna zarar verme ihtimalinden dolayı midenin kesilerek çatalın çıkarılmasına karar verildi.

ÇATAL OPERASYONLA ALINDI

ADÜ Tıp Fakültesi Göğüs Cerrahisi Ana Bilim Dalı Öğretim Üyesi Dr. Salih Çokpınar ve Genel Cerrahi Ana Bilim Dalı Dr. Öğretim Üyesi Akay Edizsoy koordinasyonundaki operasyonla midede kesi açılarak çatal çıkarıldı.

Bir süre yoğun bakımda kalan hasta, durumunun iyiye gitmesinin ardından servise alındı.

“VAKAYI İLK DUYDUĞUMDA DOĞRU OLMADIĞINI DÜŞÜNDÜM”

Vakayı ilk duyduğunda şaşırdığını anlatan Edizsoy, “Büyük bir çatalın tamamen yutulması şeklinde ortaya çıkan bu vakayı ilk duyduğumda doğru olmadığını düşündüm. Hasta 18 yaşında ve yabancı uyrukluydu. Türkçesi biraz zayıf olduğu için belki de yanlış anlaşılmalar olabileceğini düşündük. Ama hastanın filmini çektiğimizde gerçekten bir çatalın yemek borusunda olduğunu gördük.” dedi.

“ÇİVİ YA DA İĞNE GİBİ TUTULUP ÇEKİLEMİYOR”

Yemek borusu yaralanmasının ölümle sonuçlanabileceğini vurgulayan Edizsoy, şöyle devam etti:

Biz en çok bu yüzden tedirgin olduk. Ama ciddi bir yaralanma olmadığını da yapılan endoskopiyle gördük. Endoskopi ile çıkarılamadı çünkü oldukça büyüktü ve endoskopik aletler için uygun değildi. Bu büyük bir yemek çatalı olduğu için kendi ağırlığı da var. Bir çivi gibi, iğne gibi tutulup çekilemiyor. Bundan dolayı karında yapılan kesi ile mideye ulaşıp midenin içinden bunu çıkarmak şeklinde bir strateji izledik. Yaptığımız bu ameliyatla da bu çatalı oradan çıkarabildik.

BİLİMSEL MAKALEYE KONU OLACAK

Bu vakayı bilim dünyasına da sunacaklarına dikkati çeken Edizsoy, “Yabancı cisim yutulmasıyla ilgili birçok vaka var literatürde ama bunun gibi sıra dışı cisimler çok fazla yok. O yüzden biz bilimsel olarak da bunu diğer meslektaşlarımızla paylaşmayı düşünüyoruz. Bu konuda bir makale yazacağız. Bu kadar büyük bir cismin yutulması sıra dışı, böyle bir cisim yutulması ile karşılaşmamıştım.” ifadesini kullandı.

Edizsoy, hastanın sağlık durumunun iyi olduğunu aktararak, hayati riskin yüksek olmasına rağmen kötü bir sonuç gelişmeden hastanın iyileşmesinin kendilerini mutlu ettiğini sözlerine ekledi.

Kaynak: Anadolu Ajansı (AA)
EDİTÖR

Şafak Ö.

""

SIRADAKİ HABER

Samsun'da fırında simit hırsızlığı

OKUMAYA DEVAM ET

Yorumlar

İlk yorumu siz yapın!

Yorum Yap